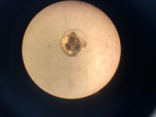
『先生、見えた!』『昨日と形がちがう!』
『体がはっきりとしている!』『血液の動きが見える!』
5年生の廊下に、昨日までは解剖顕微鏡、本日より双眼実体顕微鏡を置いています。
廊下が理科の実験室、つまりLaboratory、ラボのようです。
子どもたちは、メダカの卵の成長の変化を日々観察できています。
授業だけでなく、学校生活でも実験道具にふれ、観察することで、
子どもたちは生き物の興味・関心を高めていきます。
5年生担任 梅下博道





2021年4月27日
『先生、見えた!』『昨日と形がちがう!』
『体がはっきりとしている!』『血液の動きが見える!』
5年生の廊下に、昨日までは解剖顕微鏡、本日より双眼実体顕微鏡を置いています。
廊下が理科の実験室、つまりLaboratory、ラボのようです。
子どもたちは、メダカの卵の成長の変化を日々観察できています。
授業だけでなく、学校生活でも実験道具にふれ、観察することで、
子どもたちは生き物の興味・関心を高めていきます。
5年生担任 梅下博道




